. . Warszawa, ul. Wilcza 33 lok. 151 | kontakt 24h: +48 660 850 144












lek. dent. Stanisław Pawlak

Stacks Image 376
Absolwent Wydziału Lekarsko-Stomatologicznego, Warszawskiego Uniwersytetu Medycznego.

Stawiając za cel kompleksowość prowadzonego leczenia, uczestniczy w licznych kursach z zakresu protetyki stomatologicznej, chirurgii stomatologicznej, implantologii i implantoprotetyki, stomatologii zachowawczej a także estetycznej wg filozofii Style Italiano. Aktywny członek i absolwent prestiżowego Curriculum Implantologii międzynarodowego towarzystwa implantologicznego International Team for Implantology
(ITI), autor publikacji naukowych z zakresu chirurgii stomatologicznej i szczękowo-twarzowej, pasjonat rozwoju cyfrowej technologii stomatologicznej.

W naszym gabinecie zajmuje się planowaniem i zintegrowanym leczeniem stomatologicznym w szczególności z zakresu
protetyki i chirurgii stomatologicznej a także stomatologii zachowawczej.

Zachęcamy do zapoznania się z opisami leczenia prowadzonego przez zespół naszych lekarzy:

lek. dent. Stanisław Pawlak
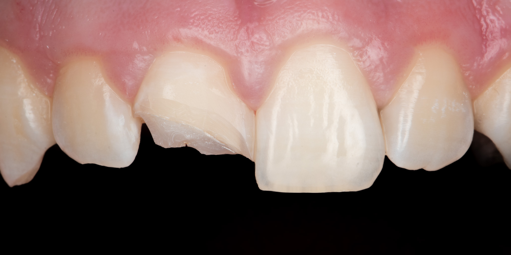
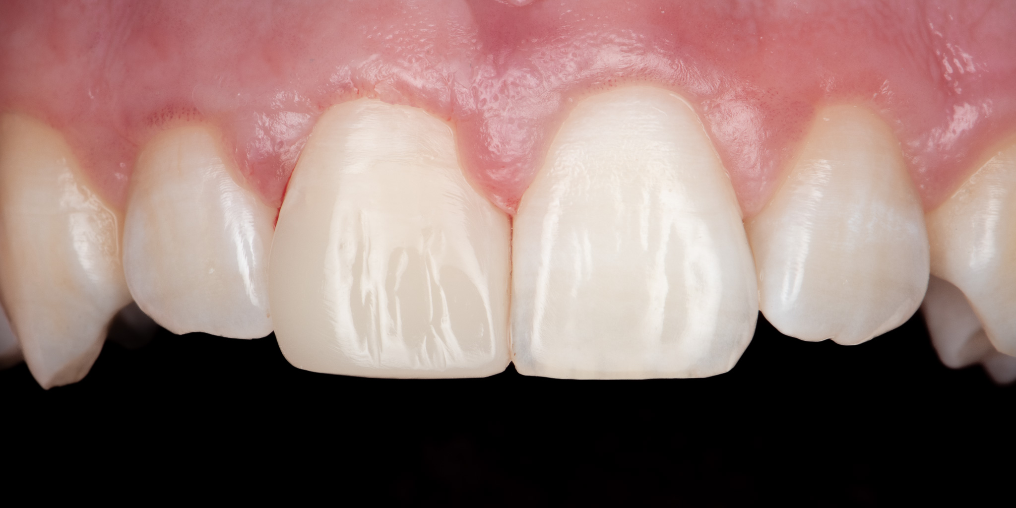
Pacjent 1
Pacjent zgłosił się podając złamie prawego siekacza centralnego (jedynki) w wyniku urazu. Wykonano estetyczną odbudowę biomimetyczną materiałem kompozytowym 3M™ Filtek™ Universal zapewniającym wysoką estetykę a także podniesioną odporność mechaniczną w porównaniu do konwencjonalnych wypełnień.
Stacks Image 402
lek. dent. Stanisław Pawlak
tech. dent. Tomasz Gładysz
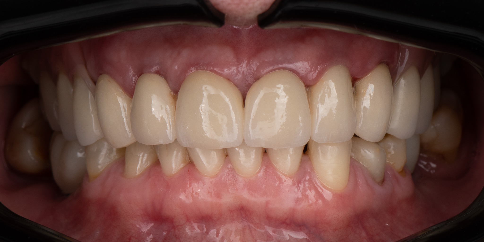
Pacjent 2
Pacjent zgłosił się w celu poprawy estetyki uzębienia, oraz wymiany użytkowanego od lat mostu protetycznego

Zaplanowane leczenie obejmowało wykonanie nowych koron pełnoceramicznych na podbudowie cyrkonowej na zęby górne oraz bezklamrowej protezy szkieletowe na zatrzaskach - rozwiązanie zapewniające wysoki komfort żucia oraz estetykę uśmiechu - brak widocznych elementów protezy na zębach własnych pacjenta.
lek. dent. Stanisław Pawlak
tech. dent. Tomasz Gładysz
Pacjent 3
Pacjent zgłosił się ze zużytym tymczasowym mostem protetycznym

Zaplanowane leczenie obejmowało wykonanie nowych koron ceramicznych na podbudowie metalowej oraz protez szkieletowych górnej i dolnej.
lek. dent. Stanisław Pawlak
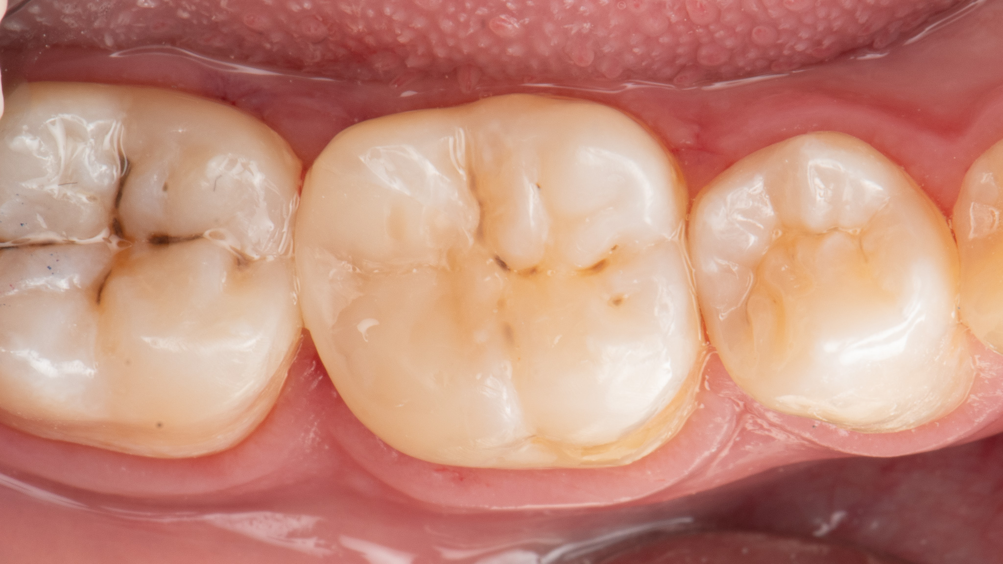
Pacjent 4
Leczenie próchnicy pierwotnej zębów bocznych (próchnica powierzchni stycznej zębów trzonowych która spowodowała odłamanie listwy brzeżnej) w zębie pierwszym trzonowym.
Odbudowa z odtworzeniem naturalnej morfologii zęba nowoczesnym materiałem światłoutwardzalnym 3M™ Filtek™ BulkFill One oraz Filtek Universal zapewniające nieporównywalną trwałość w czasie i odporność mechaniczną.

Leczenie zachowawcze odbywało się w osłonie koferdamu zapewniającej komfort pacjenta i suchość pola zabiegowego.
Stacks Image 426

kontakt:
+48 660 850 144
+48 602 353 333

telefon 24h:

+48 22 629 71 49

gabinet@wilcza33.pl

Stomatologia Wilcza 33
ul. Wilcza 33 lok 15B (domofon 151)

00-544, Warszawa

.

kontakt:
+48 660 850 144
+48 602 353 333

telefon 24h:

+48 22 629 71 49

gabinet@wilcza33.pl

Stomatologia Wilcza 33
ul. Wilcza 33 lok 15B (domofon 151)

00-544, Warszawa