. . Warszawa, ul. Wilcza 33 lok. 151 | kontakt 24h: +48 660 850 144











Leczenie stomatologiczne w powiększeniu

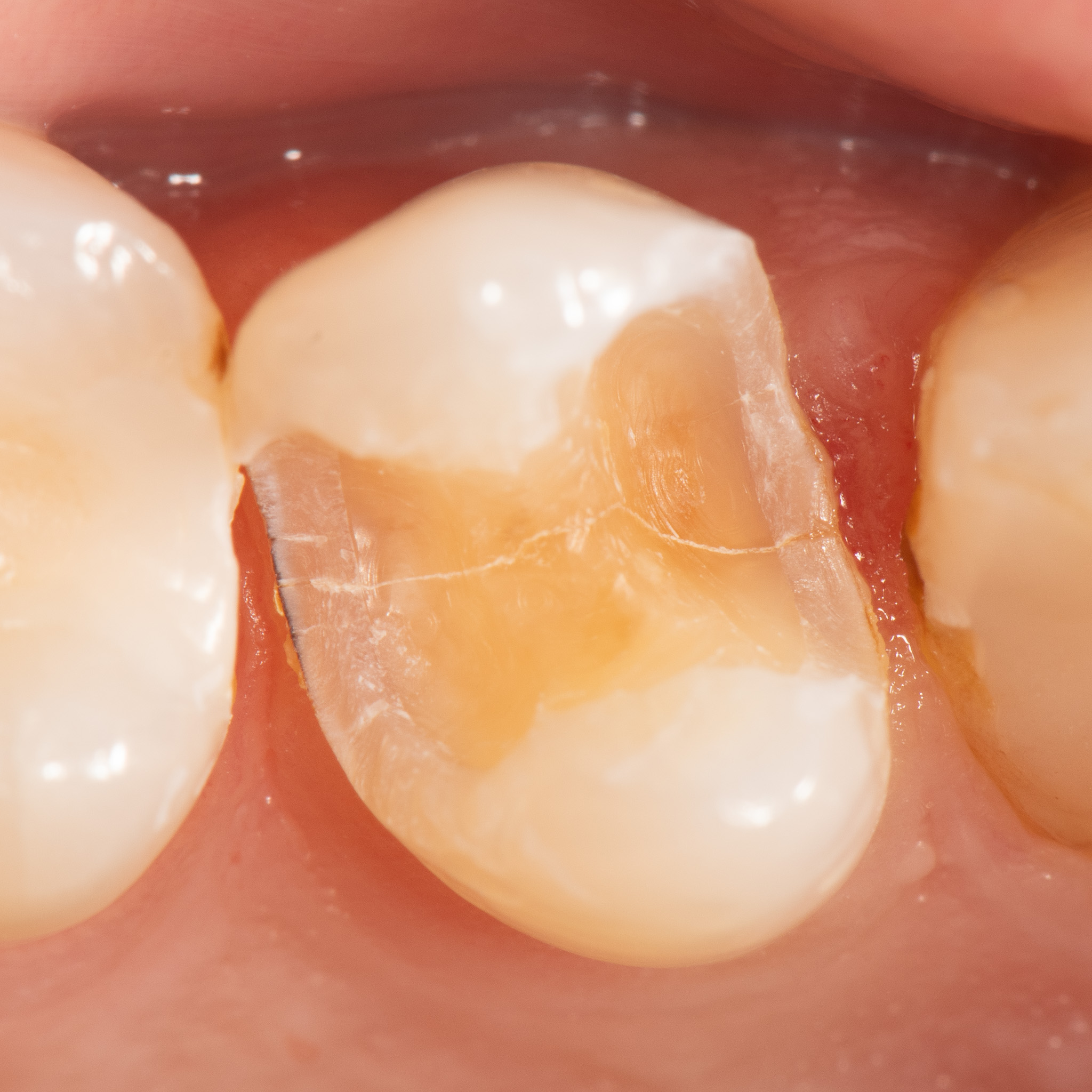
Dzięki zastosowaniu powiększenia - lup, mikroskopu zabiegowego oraz macrofotografii stomatologicznej - możemy zaoferować leczenie stomatologiczne, które cechuje najwyższa precyzja.
W badaniu mikroskopowym, nierzadko, widoczne stają się szczegóły niedostrzegalne gołym okiem, a mające wpływ na jakość prowadzonego leczenia, takie jak dodatkowe kanały systemu endodontycznego czy pęknięcia struktury zęba.

Stacks Image 492
Stacks Image 494
Stacks Image 496
Stacks Image 498
Stacks Image 502

Do zobaczenia w gabinecie!

Umówić możesz się chociażby teraz, jesteśmy dostępni dla Was 24h/dobę pod telefonem.

kontakt:
+48 660 850 144
+48 602 353 333

telefon 24h:

+48 22 629 71 49

gabinet@wilcza33.pl

Stomatologia Wilcza 33
ul. Wilcza 33 lok 15B (domofon 151)

00-544, Warszawa

.

kontakt:
+48 660 850 144
+48 602 353 333

telefon 24h:

+48 22 629 71 49

gabinet@wilcza33.pl

Stomatologia Wilcza 33
ul. Wilcza 33 lok 15B (domofon 151)

00-544, Warszawa