. . Warszawa, ul. Wilcza 33 lok. 151 | kontakt 24h: +48 660 850 144











Protetyka stomatologiczna

Gabinet Wilcza 33 jest jedną z niewielu placówek posiadających własne laboratorium techniki dentystycznej w bezpośredniej bliskości gabinetu. Dzięki tej współpracy, nasi pacjenci mogą liczyć na ekspresowe naprawy protez oraz szybkie wykonawstwo nowych uzupełnień protetycznych (protez całkowitych, częściowych, szkieletowych)

Zachęcamy do zapoznania się z opisami leczenia prowadzonego przez zespół naszych lekarzy:

Stacks Image 447
lek. dent. Stanisław Pawlak
tech. dent. Tomasz Gładysz
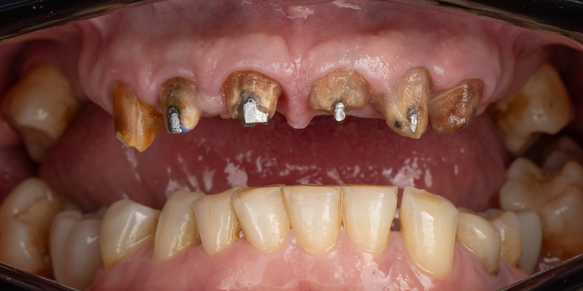
Pacjent 1
Pacjent zgłosił się w celu poprawy estetyki uzębienia, oraz wymiany użytkowanego od lat mostu protetycznego

Zaplanowane leczenie obejmowało wykonanie nowych koron pełnoceramicznych na podbudowie cyrkonowej na zęby górne oraz bezklamrowej protezy szkieletowe na zatrzaskach - rozwiązanie zapewniające wysoki komfort żucia oraz estetykę uśmiechu - brak widocznych elementów protezy na zębach własnych pacjenta.
lek. dent. Stanisław Pawlak
tech. dent. Tomasz Gładysz
Pacjent 2
Pacjent zgłosił się ze zużytym tymczasowym mostem protetycznym

Zaplanowane leczenie obejmowało wykonanie nowych koron ceramicznych na podbudowie metalowej oraz protez szkieletowych górnej i dolnej.
lek. dent. Stanisław Pawlak
tech. dent. Tomasz Gładysz
Pacjent 3
Pacjent zgłosił się w celu poprawy estetyki uzębienia oraz wymiany użytkowanych protez.

Zaplanowane leczenie obejmowało wykonanie nowych koron porcelanowych na zęby górne oraz bezklamrowe protezy szkieletowe na zatrzaskach - rozwiązanie zapewniające wysoki komfort żucia oraz estetykę uśmiechu - brak widocznych elementów protezy na zębach własnych pacjenta.

Leczeniu podlegała również choroba próchnicowa.

Do zobaczenia w gabinecie!

Umówić możesz się chociażby teraz, jesteśmy dostępni dla Was 24h/dobę pod telefonem.

kontakt:
+48 660 850 144
+48 602 353 333

telefon 24h:

+48 22 629 71 49

gabinet@wilcza33.pl

Stomatologia Wilcza 33
ul. Wilcza 33 lok 15B (domofon 151)

00-544, Warszawa

.

kontakt:
+48 660 850 144
+48 602 353 333

telefon 24h:

+48 22 629 71 49

gabinet@wilcza33.pl

Stomatologia Wilcza 33
ul. Wilcza 33 lok 15B (domofon 151)

00-544, Warszawa