. . Warszawa, ul. Wilcza 33 lok. 151 | kontakt 24h: +48 660 850 144











Endodoncja

Endodoncja czyli leczenie kanałowe pozwala, na wiele lat, utrzymać w zdrowiu zęby martwe, które w przeciwnym razie wymagałby usunięcia. W naszym gabinecie prowadzimy leczenie kanałowe pierwotne jak również powtórne (ReEndo) z wykorzystaniem nowoczesnych technik i narzędzi takich jak mikroskop zabiegowy, rotacyjne systemy udrażniania kanałów czy wypełnienie płyną falą gutaperki.

Stacks Image 454
Stacks Image 452
Stacks Image 450
Stacks Image 448
Stacks Image 446

Zachęcamy do zapoznania się z opisami leczenia prowadzonego przez zespół naszych lekarzy:

Stacks Image 487
Stacks Image 485
lek. dent. Karolina Siatkowska
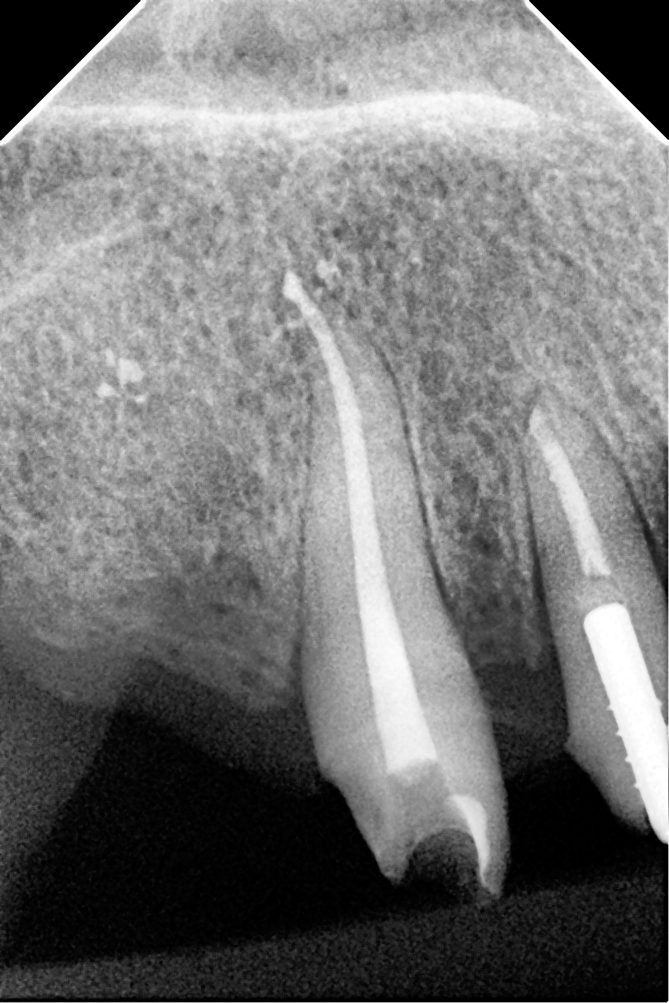
Pacjent 1
Pacjent zgłosił się do gabinetu w celu zaopatrzenia złamanego zęba (kła) w koronę protetyczną. W badaniu radiologicznym widoczna jest resorpcja materiału wypełniającego kanał po dawnym leczeniu endodontycznym oraz tworząca się zmiana zapalna w okolicy wierzchołka korzenia; z uwagi na konieczność wykorzystania zęba jako filar protetyczny przeprowadzono powtórne leczenie kanałowe (ReEndo) z wykorzystaniem nowoczesnych narzędzi rotacyjnych oraz mikroskopu zabiegowego. Kanał wypełniono szczelnie techniką obturacji płynną falą gutaperki (wypełnienie na ciepło).
Ząb posłużył do stabilnej odbudowy protetycznej.

Do zobaczenia w gabinecie!

Umówić możesz się chociażby teraz, jesteśmy dostępni dla Was 24h/dobę pod telefonem.

kontakt:
+48 660 850 144
+48 602 353 333

telefon 24h:

+48 22 629 71 49

gabinet@wilcza33.pl

Stomatologia Wilcza 33
ul. Wilcza 33 lok 15B (domofon 151)

00-544, Warszawa

.

kontakt:
+48 660 850 144
+48 602 353 333

telefon 24h:

+48 22 629 71 49

gabinet@wilcza33.pl

Stomatologia Wilcza 33
ul. Wilcza 33 lok 15B (domofon 151)

00-544, Warszawa