. . Warszawa, ul. Wilcza 33 lok. 151 | kontakt 24h: +48 660 850 144











Stomatologia zachowawcza

W Gabinecie Wilcza 33 wykorzystujemy nowoczesne materiały stomatologiczne od uznanych światowych producentów. Wszystkie wykonywane przez nas prace charakteryzują się wysoką estetyką oraz zapewniają funkcję zgodną z fizjologią żucia na najwyższym poziomie.

Zachęcamy do zapoznania się z opisami leczenia prowadzonego przez zespół naszych lekarzy:

lek. dent. Stanisław Pawlak
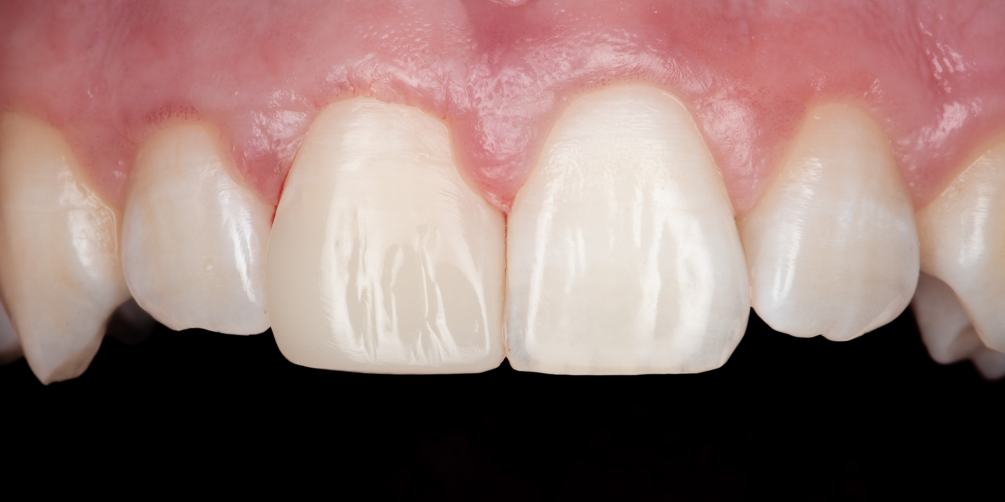
Pacjent 1
Pacjent zgłosił się podając złamie prawego siekacza centralnego (jedynki) w wyniku urazu. Wykonano estetyczną odbudowę biomimetyczną materiałem kompozytowym 3M™ Filtek™ Universal zapewniającym wysoką estetykę a także podniesioną odporność mechaniczną w porównaniu do konwencjonalnych wypełnień.
lek. dent. Stanisław Pawlak
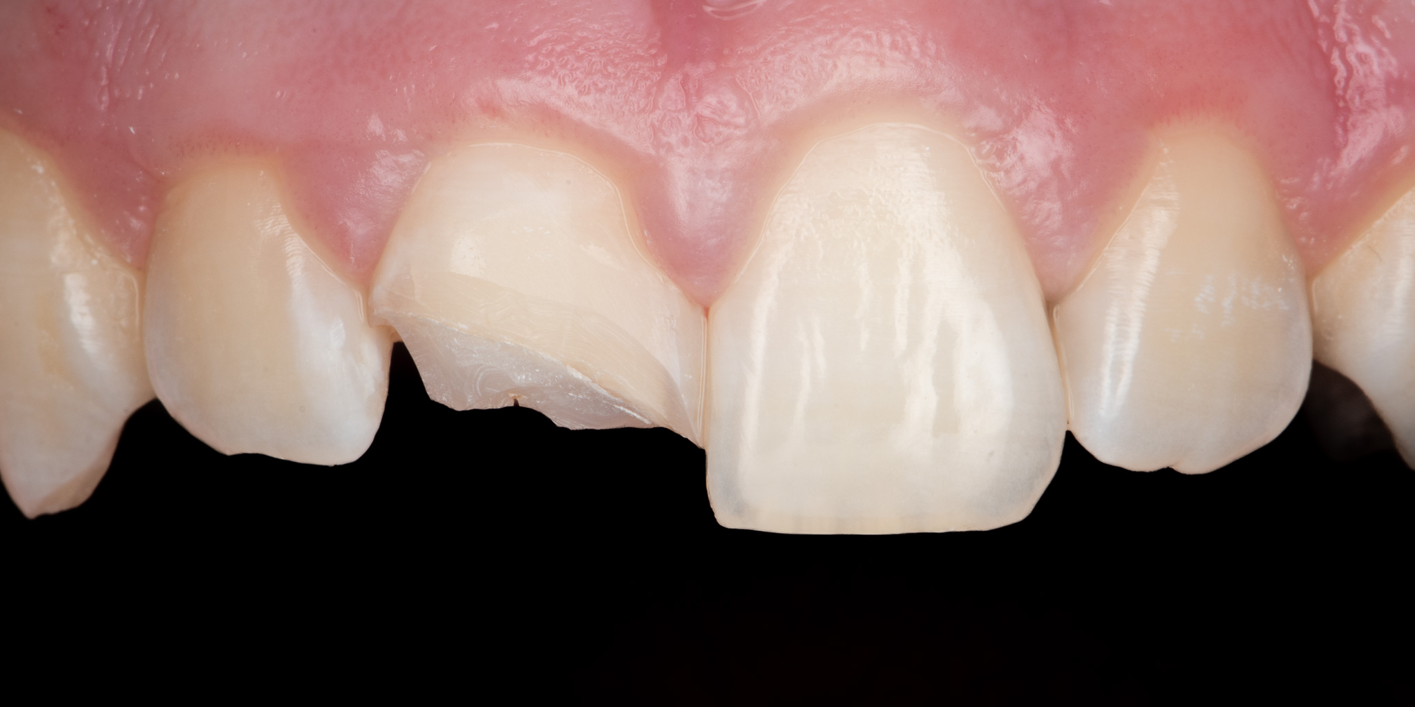
Pacjent 2
Pacjent zgłosił się podając odkruszenie prawego siekacza (jedynki) w wyniku urazu. Wykonano estetyczną odbudowę biomimetyczną materiałem kompozytowym 3M™ Filtek™ Universal zapewniającym wysoką estetykę a także podniesioną odporność mechaniczną w porównaniu do konwencjonalnych wypełnień.
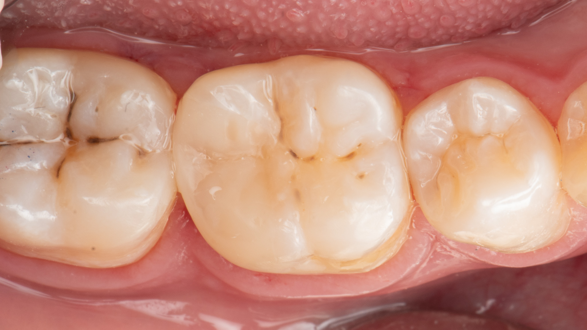
lek. dent. Stanisław Pawlak
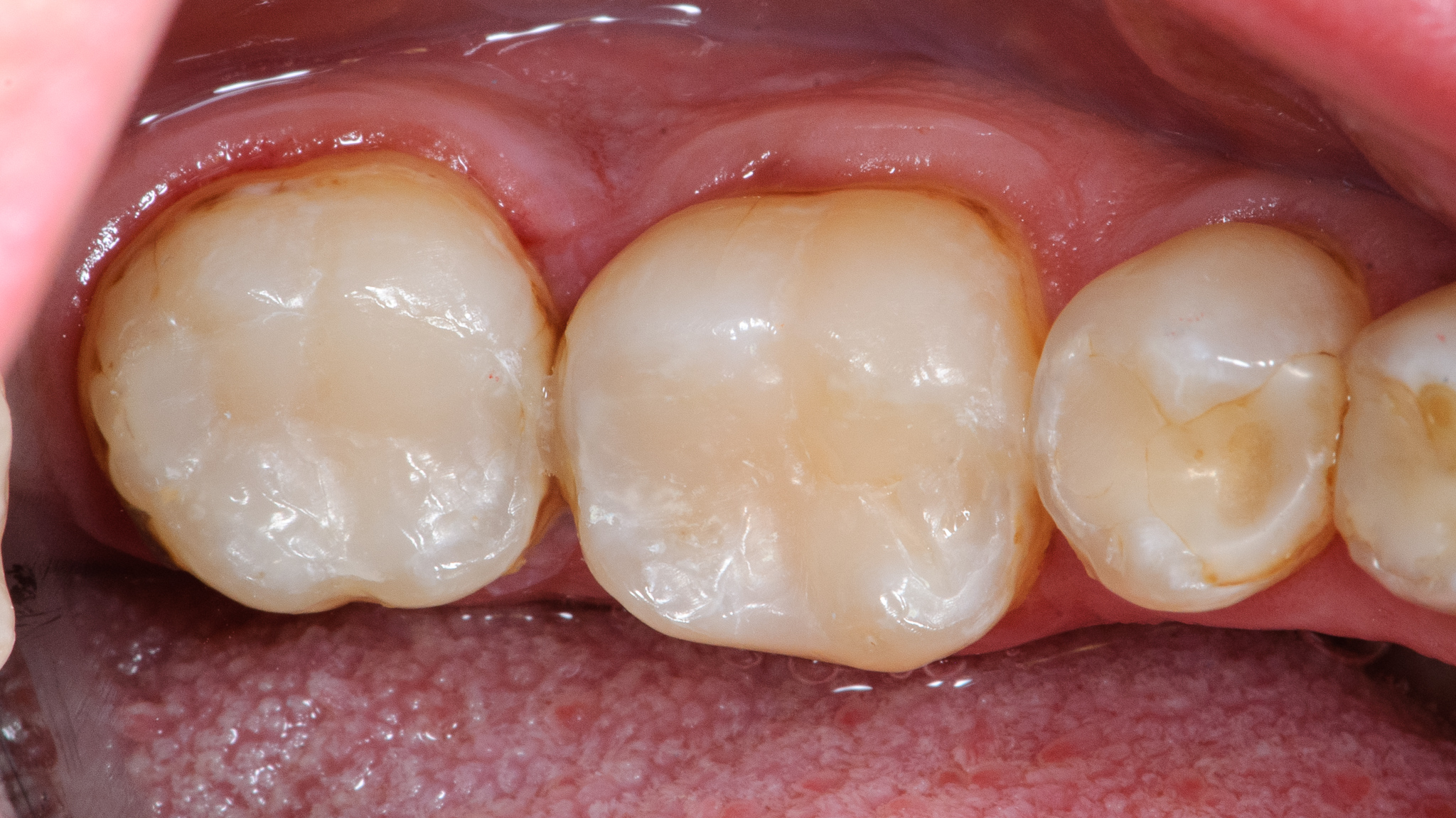
Pacjent 3
Leczenie próchnicy pierwotnej zębów bocznych (próchnica powierzchni stycznej zębów trzonowych która spowodowała odłamanie listwy brzeżnej) w zębie pierwszym trzonowym.
Odbudowa z odtworzeniem naturalnej morfologii zęba nowoczesnym materiałem światłoutwardzalnym 3M™ Filtek™ BulkFill One oraz Filtek Universal zapewniające nieporównywalną trwałość w czasie i odporność mechaniczną.

Leczenie zachowawcze odbywało się w osłonie koferdamu zapewniającej komfort pacjenta i suchość pola zabiegowego.
lek. dent. Stanisław Pawlak
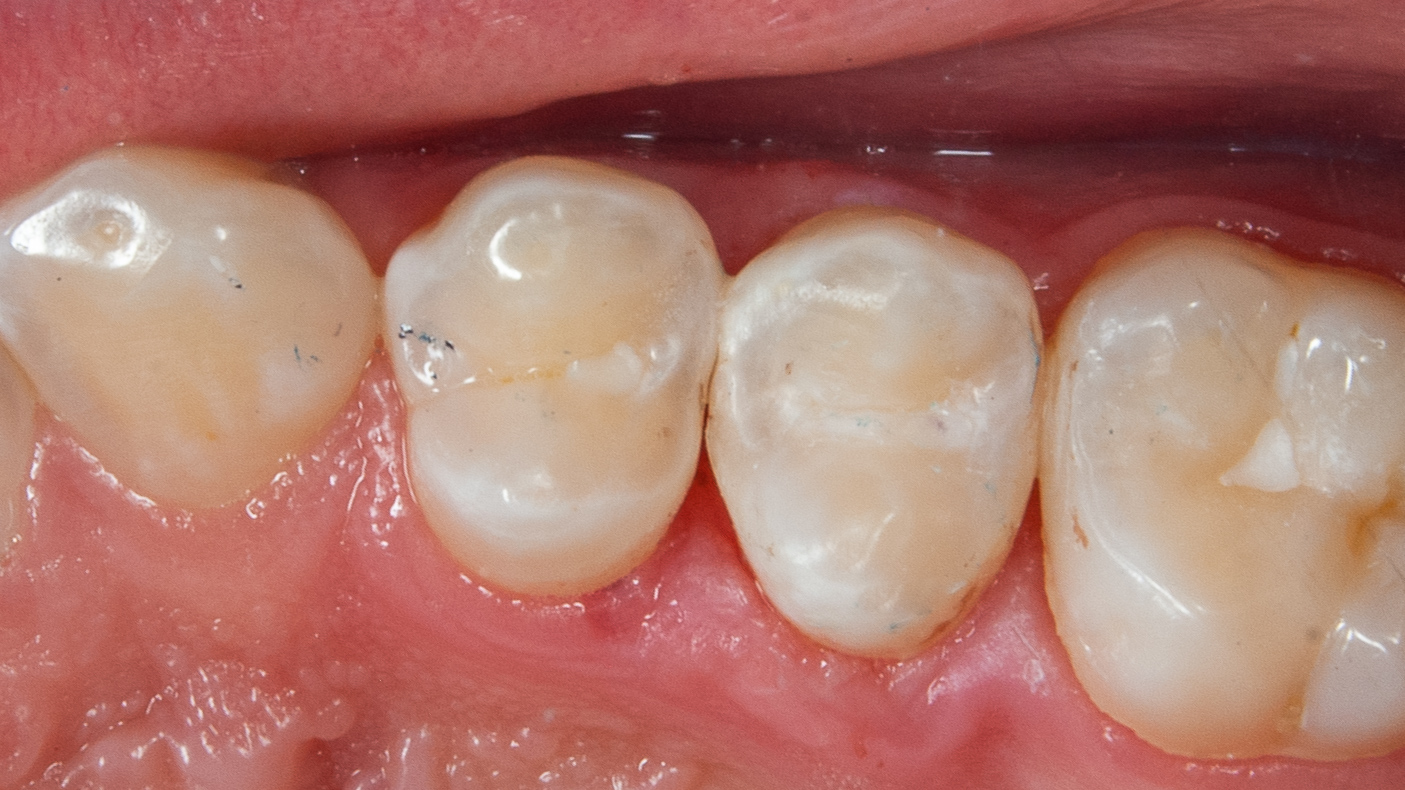
Pacjent 4
Leczenie próchnicy wtórnej (wymiana nieszczelnego wypełnienia) w zębie pierwszym trzonowym.
Odbudowa z odtworzeniem naturalnej morfologii zęba nowoczesnym materiałem światłoutwardzalnym 3M™ Filtek™ BulkFill One zapewniające nieporównywalną trwałość w czasie i odporność mechaniczną.

Leczenie zachowawcze odbywało się w osłonie koferdamu zapewniającej komfort pacjenta i suchość pola zabiegowego.
lek. dent. Stanisław Pawlak
Pacjent 5
Pacjent zgłosił się podając przewlekłe zaleganie resztek jedzenia i utrudnione ich oczyszczanie pomiędzy zębami przedtrzonowymi łuku górnego.

Leczenie polegało na nieinwazyjnej poprawie anatomii listwy brzeżnej (struktury morfologicznej zęba niwelującej "wchodzenie jedzenia między zęby") przy pomocy materiału kompozytowego.
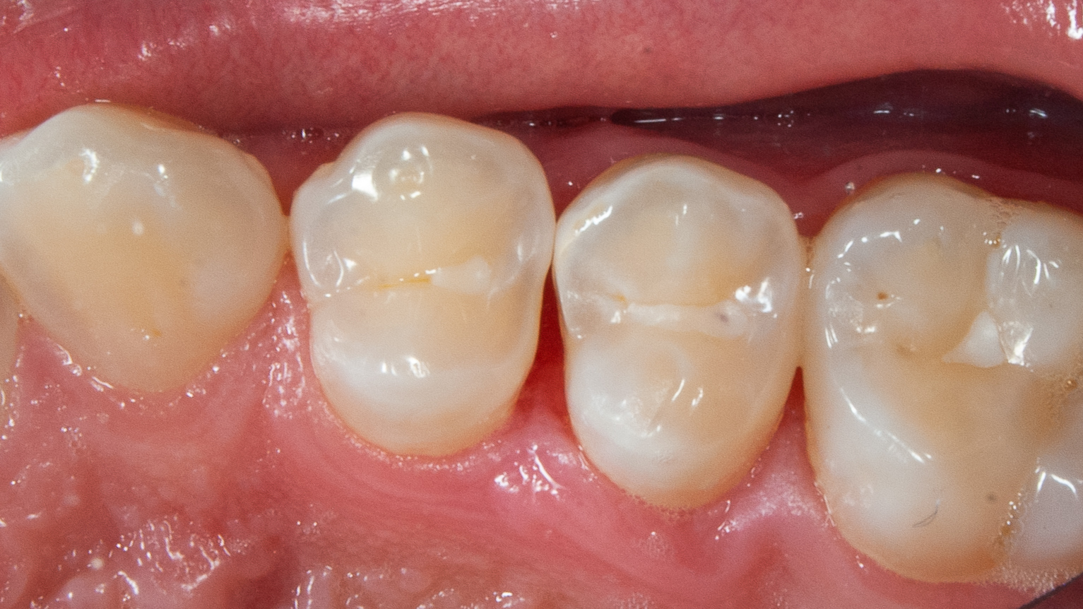
lek. dent. Stanisław Pawlak
Pacjentka 6
Pacjentka zgłosiła się podając nieestetyczne przebarwienia starych wypełnień kompozytowych w zębach górnych - w okolicy punktów stycznych pojawiły się nieszczelności a wraz z nimi próchnica wtórna, która jest nie tylko defektem estetycznym ale również zagraża żywotności zębów.

Leczenie przeprowadzono w osłonie koferdamu, zapewniającej komfort pacjenta oraz suchość pola zabiegowego tym samym zwiększając trwałość odbudowy. Ubytki pochodzenia próchnicowego odbudowano materiałem kompozytowym 3M™ Filtek™ Universal Restorative o bezpretensjonalnej estetyce przy zachowaniu wygórowanych właściwości mechanicznych materiału zapewniających szczelność odbudowy w czasie.

Do zobaczenia w gabinecie!

Umówić możesz się chociażby teraz, jesteśmy dostępni dla Was 24h/dobę pod telefonem.

kontakt:
+48 660 850 144
+48 602 353 333

telefon 24h:

+48 22 629 71 49

gabinet@wilcza33.pl

Stomatologia Wilcza 33
ul. Wilcza 33 lok 15B (domofon 151)

00-544, Warszawa

.

kontakt:
+48 660 850 144
+48 602 353 333

telefon 24h:

+48 22 629 71 49

gabinet@wilcza33.pl

Stomatologia Wilcza 33
ul. Wilcza 33 lok 15B (domofon 151)

00-544, Warszawa